
tourisme medical en tunisie : Soin et esthétique dentaire. Le Dr Ben Amor Nour El Houda propose des soins dentaires modernes à des tarifs compétitifs dans un cadre professionnel et accueillant.
Nos services :
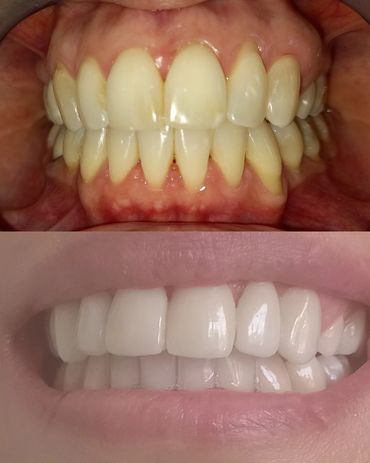
Votre sourire, notre priorité !
Cabinet Dr Nour El Houda Ben Amor : Expertise en esthétique dentaire et implantologie à Tunis
Situé à Le Bardo, au cœur de Tunis, le cabinet Dr Nour El Houda Ben Amor est une référence en esthétique du sourire et en implantologie orale.
Nous proposons des solutions sur mesure pour un sourire éclatant et une santé bucco-dentaire optimale, grâce à une approche personnalisée et aux technologies dentaires les plus avancées.
Chez Dr Ben Amor Nour El Houda, nous allions expertise dentaire, passion et technologies de pointe pour offrir des soins de qualité supérieure. Situé à Tunis, notre cabinet dentaire est une destination de choix pour les patients locaux et internationaux recherchant des traitements esthétiques et restaurateurs comme les implants dentaires, les facettes et le blanchiment dentaire. Profitez d'une expérience dentaire personnalisée, dans un cadre moderne, avec des résultats exceptionnels et un suivi complet. Soins dentaires de qualité en Tunisie adaptés à vos besoins.
At Dr. Ben Amor Nour El Houda’s clinic, we combine dental expertise, passion, and cutting-edge technology to provide superior dental care. Located in Tunis, our dental practice is the ideal choice for local and international patients seeking aesthetic and restorative treatments such as dental implants, veneers, and teeth whitening. Enjoy a personalized dental experience in a modern setting, with exceptional results and comprehensive care. Quality dental services in Tunisia tailored to your needs.
Réservez votre consultation dès maintenant et découvrez comment nous pouvons sublimer votre sourire au cabinet Dr Nour El Houda Ben Amor !" 😊
72 Avenue Habib Bourguiba, le Bardo Tunis, Tunisia







Sublimez votre sourire
Le Dr Ben Amor Nour El Houda propose des solutions dentaires innovantes pour un sourire éclatant et une santé bucco-dentaire parfaite.
Avec des blanchiments professionnels, des facettes dentaires pour une esthétique parfaite, ou des implants dentaires pour remplacer des dents manquantes, chaque soin est pensé pour restaurer votre confiance et sublimer votre sourire.
Transformez votre sourire dès aujourd’hui grâce aux soins modernes et personnalisés du Dr Ben Amor !
Ouvert aujourd'hui | 10:00 – 18:00 |

Cabinet dentaire Dr Ben Amor Nour El Houda
72 Avenue Habib Bourguiba, le Bardo